全球疾病负担研究(GBD)2019年数据显示,全球慢性肾脏病患者高达8.5亿且已成为全球第8位的死因。2024年3月14日是第十九个“世界肾脏病日”,今年的主题是:“人人享有肾脏健康:促进医疗平等,优化用药实践”,旨在提醒大众进一步关注肾脏健康。

此值世界肾脏日,下面让我们一起了解一例电镜特征性显著的罕见肾脏病例:Fabry病肾病。
病例资料
患者青年男性,40岁,因“发现尿蛋白3月”入院,伴解泡沫尿,无尿量减少、下肢浮肿等不适。
辅助检查:尿常规示尿蛋白3+,肝肾功能示ALB 42g/L,UA 480umolL,肌酐95umol/L,血脂总胆固醇4.3mmol/L。
既往史:既往体健。
入院后行肾穿活检。
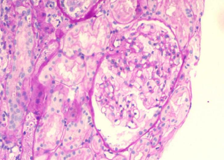
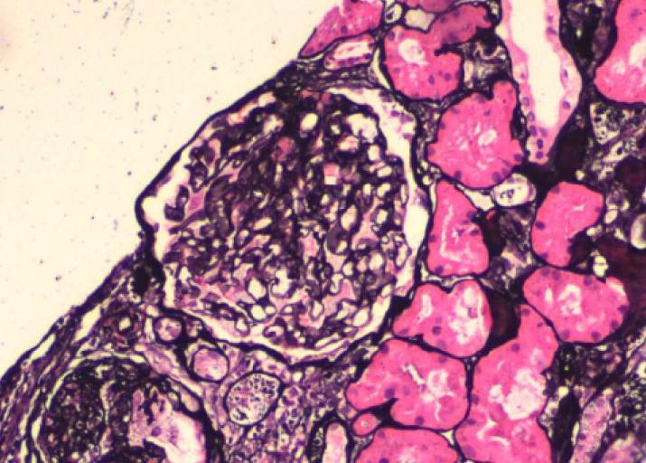
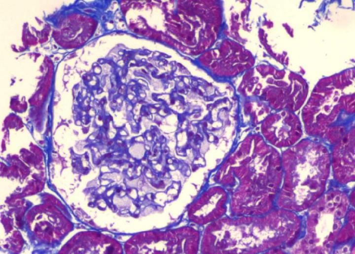
光镜形态表现
光镜标本下包括肾皮质及髓质,可见20个肾小球,其中5个肾小球球性硬化,5个肾小球节段性硬化;
节段性硬化区域周边足细胞增生、肥大,另见个别肾小球球囊周纤维化,其内毛细血管袢缺血皱缩;
其余肾小球足细胞明显肿胀,空泡变性呈泡沫状,系膜细胞和基质轻微增生,系膜区可见少量嗜复红蛋白沉积;
毛细血管襻开放,基底膜无明显增厚,未见钉突样结构,无系膜插入及双轨形成,上皮下、内皮下无明显嗜复红蛋白沉积,壁层上皮细胞无明显增生,未见新月体形成;
肾小管上皮细胞空泡变性,可见少量蛋白管型,灶状萎缩(萎缩面积约15%);
肾间质灶状单个核细胞浸润,小动脉大致正常,细动脉节段性玻璃样变;

PAS×200 肾小球上皮细胞肿胀伴空泡变性、泡沫细胞形成

PASM×200

Masson×200 肾小球上皮细胞肿胀伴空泡变性、泡沫细胞形成
荧光表现
荧光下可见IgA(1+)系膜区颗粒状沉积
其余Kappa、Lambda、IgM、IgG、C3、C1q、Fib及Alb均为(-)
肾小管重吸收小滴有Alb阳性。

图:IgA荧光,局灶系膜区颗粒状沉积
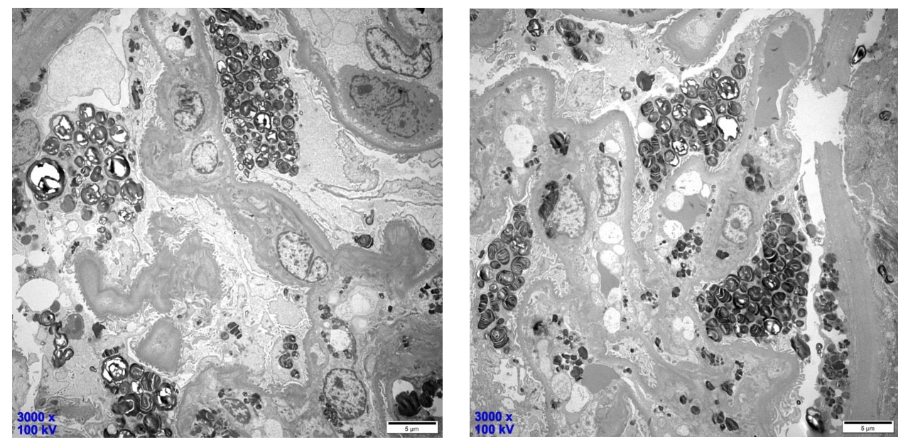
电镜表现
电镜标本经甲苯胺蓝染色,可见1个肾小球,可见嗜甲苯胺蓝颗粒在足细胞、小管上皮细胞以及壁层上皮细胞多部位沉积;
超薄切片电镜下观察,毛细血管襻开放,壁层细胞无明显增生。基底膜无明显增厚,厚度约250-450nm;
部分足细胞空泡变性,呈泡沫状,次级溶酶体增多并见大量髓样小体和斑马小体,足突弥漫性融合;
上皮下未见电子致密物沉积,系膜细胞和基质无增生,系膜细胞胞浆可见少许电子致密物沉积,内皮下未见确切电子致密物沉积。肾小管上皮细胞空泡变性,肾间质无特殊病变;

甲苯胺蓝×200,可见嗜甲苯胺蓝颗粒在足细胞、小管上皮细胞以及壁层上皮细胞多部位沉积

电镜下具有特征性改变,即肾脏各种细胞的细胞质内均可充满嗜锇“斑马小体”。(以上两张图组)

该“斑马小体”呈较高电子密度,圆形或卵圆形,直径1~5um,小体内部呈层状,层间距较一致,形似斑马皮,亦似洋葱皮、层状结构或髓鞘样结构,故称“斑马小体”“洋葱皮小体”“片层样小体”或“髓样小体”,当该小体被包含在溶酶体中,周围由一层膜包绕,为Fabry病特征性表现。(以上两张图组)

各种细胞的细胞质内均可见,包括肾小球脏层上皮细胞、壁层细胞、肾小管上皮细胞、肾间质细胞、血管壁内皮细胞和平滑肌细胞(以上六张图组)
病理诊断
结合组织学形态及电镜形态,符合Fabry病肾病,建议结合家族史并行基因检查。
文献回顾
概述:法布里病(Fabry’s disease)又称Anderson- Fabry 综合征,是一种罕见的X染色体遗传性疾病。因编码α-半乳糖苷酶(Alpha-galac tosidase A, α-Gal)的基因突变导致活性低下,使得神经鞘脂类物质不能裂解并在体内大量蓄积,最终导致多系统器官损害。1898年首先由Anderson和Fabry同时报道。

发病机制:该病以X伴性方式遗传,其发病与位于X染色体长臂q22.1(Xq22.1)的 GLA 基因(编码 α-GalA)突变有关,基因突变导致α-GalA酶的活性降低,引起其代谢底物神经鞘脂类化合物(绝大部分为三己糖酰基鞘脂醇,Gb3)在各种细胞或组织溶酶体中不断蓄积,引起细胞增殖、肿胀,导致全身多脏器受累而表现出多种多样的临床表现。目前为止已有数以百计的GLA基因突变可引起该病。

临床表现
Fabry病常为多器官、多系统受累,出现皮肤、眼、耳、心脏、肾脏、神经系统及胃肠道等症状,而肾脏受累则为该疾病的主要特征。发病年龄多为10~20岁,开始为蛋白尿或血尿,后可进展为肾病综合征,直至肾衰。
其它常见临床表现有:周围神经受累,可导致疼痛、排汗障碍(少汗或多汗)等。

诊断标准
光镜:肾小球上皮细胞肿胀伴空泡变性、泡沫细胞形成(神经鞘脂沉积);甲苯胺蓝染色可见嗜甲苯胺蓝颗粒在足细胞、小管上皮细胞以及壁层上皮细胞多部位沉积。
免疫病理:无特异性。
电子显微镜(EM)被认为是唯一可用于可靠确认或排除Fabry肾病的工具:
»在不同细胞类型的溶酶体内观察到GL-3沉积物称为“髓鞘图”、“洋葱皮”或“斑马体” 。
»在高放大倍率下,GL-3沉积物由电子致密的多层同心层组成,3.5至5nm具有诊断意义,可见足细胞内大量分层环状的髓磷脂样小体(又称髓样小体)。
鉴别诊断
本病电镜下极具特征性,但临床确诊Fabry病尚需要完善α-Gal活性、基因检测及GL-3水平等检查。
结语
Fabry病常很难被诊断,常常未被发现或误诊。它的症状是非特异性的,包括手足疼痛、皮肤皮疹、消化系统问题等早期症状,以及肾病、心脏病或中风等严重后果。
肾脏病变是Fabry病的主要临床表现之一。肾脏活检是确定诊断的金标准,特别是如果Fabry病的临床表现不典型。肾活检对于排除并存的肾脏病以及监测治疗效果也是非常有价值的。此外,组织的可用性仍然是病理机制研究的必要条件。近年来,基于对足细胞、内皮细胞和血管系统的研究,揭示了许多导致这种复杂疾病的机制。这些发现仍然需待转化为适当的治疗模式,以补充目前的治疗方案。
守护肾脏健康
为更好地助力临床精准诊断,澳网(中国区)重点打造肾脏、肌肉、呼吸系统、甲状腺等九大特色病理亚专科,依托遍布全国的顶尖病理实验室、国内外专家资源及高精尖的病理技术平台,为临床和患者提供专业、高效、精准的病理诊断服务。

今天是世界肾脏病日
让我们一起关爱肾脏健康
守护好生命之源
Copyright 2023 Yunkang Group Limited. All rights reserved. 粤ICP备12059545号-6 隐私政策 | 免责声明 网站建设技术支持:唯引互动